Diş taşı temizliği genellikle profesyonel bir diş hekimi tarafından yapılan güvenli bir işlemdir ve enfeksiyona neden olmaz.
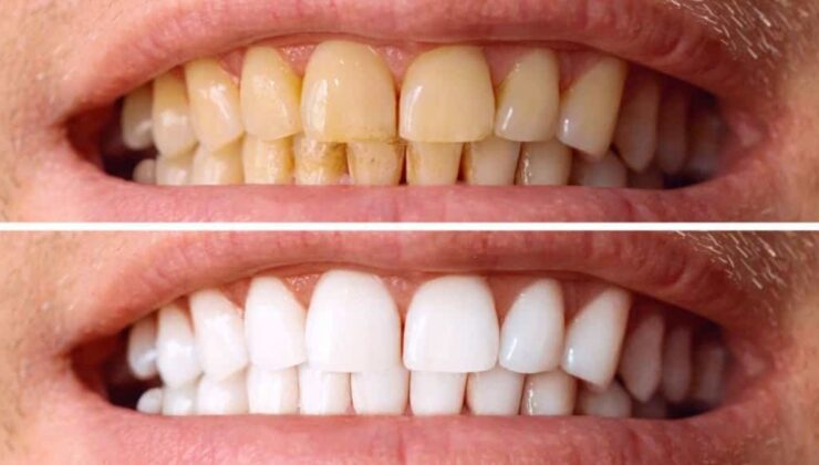
Bakterilerin plaklar halinde taşlaşması neticesinde oluşan diş taşları hastaları hem fonksiyonel hem de estetik olarak etkiliyor.
Ancak dikkat edilmesi gereken bazı durumlar vardır.
Bu durumlar ise şu şekilde:
ENFKESİYON RİSKİ VAR MI
Normal şartlarda diş taşı temizliği enfeksiyona yol açmaz.
Aksine, temizlenmeyen diş taşları zamanla diş eti hastalıklarına (örneğin, gingivit veya periodontitis) ve enfeksiyonlara neden olabilir.

NADİREN KARŞILAŞILAN DURUMLAR
Diş eti hassasiyeti:
Temizlik sonrası diş etlerinde hafif hassasiyet veya kanama olabilir. Bu durum genellikle geçicidir.
Aseptik koşullar:
İşlem sırasında kullanılan aletlerin steril olması enfeksiyon riskini sıfıra yakın tutar.
İyi bakım:
Diş taşı temizliği sonrası hijyen kurallarına dikkat edilmezse enfeksiyon riski artabilir.
NELERE DİKKAT ETMELİYİZ
İşlem sonrası diş hekiminizin önerdiği ağız bakımına dikkat edin.
Günde en az iki kez dişlerinizi fırçalayın ve diş ipi kullanın.
Diş taşı temizliğinden sonra kısa süreli bir hassasiyet yaşanıyorsa tuzlu su ile gargara yapılabilir.
EĞER AĞRI VE ŞİŞLİK VARSA…
Eğer işlem sonrası uzun süren ağrı, şişlik veya iltihap belirtileri varsa mutlaka diş hekiminize başvurun.
Diş hekiminizin tecrübesi ve sterilizasyon konusundaki titizliği enfeksiyon riskini minimuma indirir.
SEKTÖREL
20 Nisan 2026SEKTÖREL
20 Nisan 2026MAGAZİN
20 Nisan 2026GENEL
20 Nisan 2026MAGAZİN
20 Nisan 2026GÜNDEM
20 Nisan 2026SPOR
20 Nisan 2026
1
Doğru emzirme yöntemleri nelerdir, sütün yettiği nasıl anlaşılır?
3458 kez okundu
2
2021 yılına girerken yeni saç modelleri kendini göstermeye başladı.
3218 kez okundu
3
Bu kış kombinlere doyacağınız onlarca model ve onlarca detay.
3206 kez okundu
4
Takı ve makyaj uyumuna trend örnekleri sizler için derledik.
3128 kez okundu
5
Taylor Swift yeni albüm planları için düğmeye bastığını sosyal medyadan duyurdu!
2821 kez okundu