DOLAR 44,8713 0.02%
EURO 52,8604 -0.08%
ALTIN 6.904,42-0,87
BITCOIN 3328170-1.92551%
İstanbul
12°

AÇIK

SABAHA KALAN SÜRE

Kayseri’de midesinde uyuşturucu taşıyan İranlı şüpheliler yakalandı

Kayseri’de midesinde uyuşturucu taşıyan İranlı şüpheliler yakalandı

ABONE OL
Ekim 12, 2025 16:12
Kayseri’de midesinde uyuşturucu taşıyan İranlı şüpheliler yakalandı
0

BEĞENDİM

ABONE OL
AA

Kayseri Vilayet Jandarma Komutanlığı grupları Kocasinan ilçesi Himmetdede Mahallesi’nde İran asıllı 3 şüphelinin bulunduğu ticari aracı durdurdu.

Araçtaki A.O. (51), M.S. (37) ve P.S.’nin (28) üzerinde yapılan aramada bir ölçü uyuşturucu bulundu.

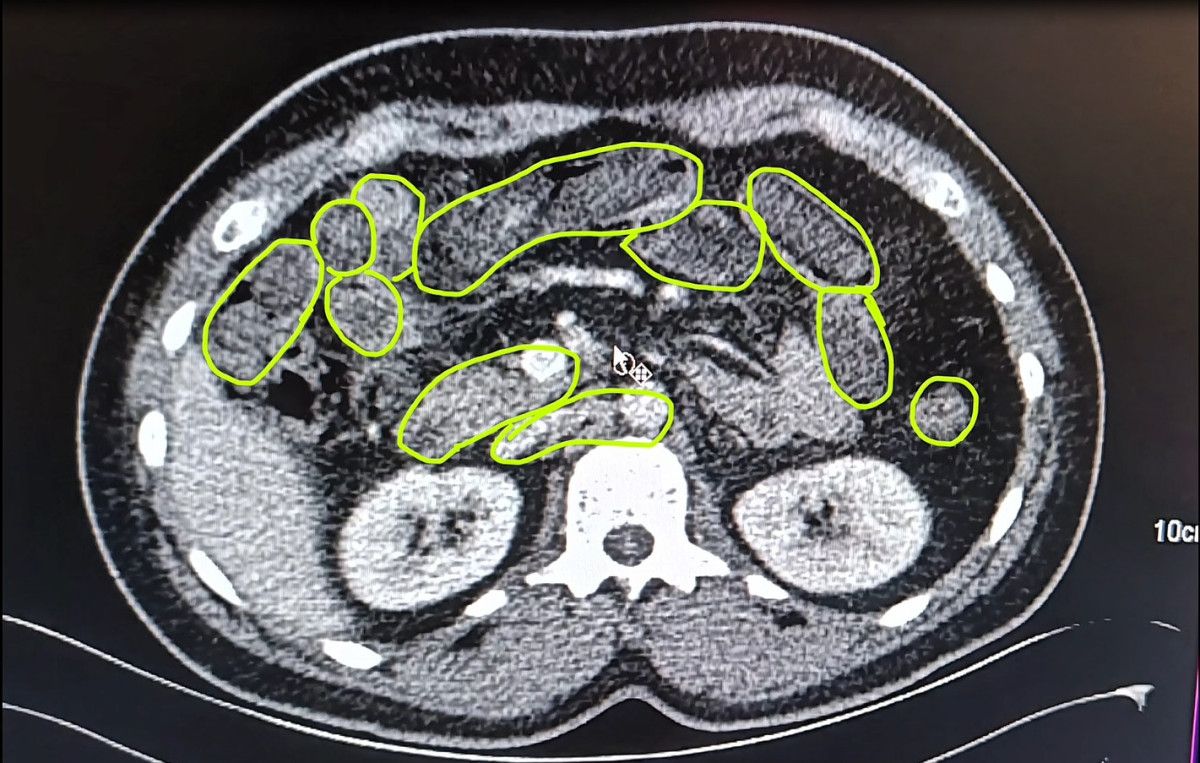
Zanlıların uyuşturucu unsurları yutmuş olabileceğini kıymetlendiren gruplar bu bireyleri hastaneye götürdü.

MİDELERİNDEN UYUŞTURUCU ÇIKTI

Röntgenlerinde midelerinde uyuşturucu unsur olduğu belirlenen zanlılardan 20 gram çeşitli uyuşturucu unsur ile 117 uyuşturucu hap ele geçirildi.

Gözaltına alınan şüphelilerin süreçleri devam ediyor.

En az 10 karakter gerekli


HIZLI YORUM YAP
300x250r
300x250r