DOLAR 44,8851 0.05%
EURO 52,8238 0%
ALTIN 6.938,95-0,38
BITCOIN 3384379-0.25468%
İstanbul
13°

AÇIK

SABAHA KALAN SÜRE

Muş’ta midesinde 84 kapsül eroin taşıyan şahıs yakalandı

Muş’ta midesinde 84 kapsül eroin taşıyan şahıs yakalandı

ABONE OL
Ocak 12, 2025 14:36
Muş’ta midesinde 84 kapsül eroin taşıyan şahıs yakalandı
0

BEĞENDİM

ABONE OL
AA

Muş Valiliği’nden yapılan açıklamaya göre İl Emniyet Müdürlüğü Narkotik Suçlarla Mücadele Şubesi ekipleri uyuşturucuyla mücadele çalışmaları kapsamında şüpheli S.S.’nin uyuşturucu taşıdığını tespit etti.

Bunun üzerine 25 Aralık’ta şüphelinin bulunduğu şehirlerarası yolcu otobüsü ekiplerce kent girişinde oluşturulan kontrol noktasında durduruldu.

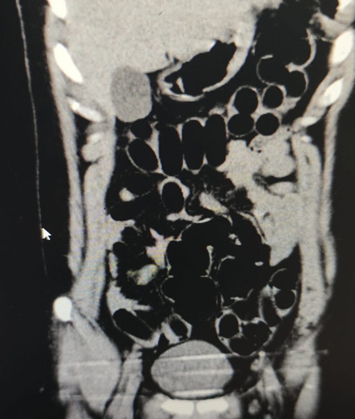
MİDESİNDE TAŞIMIŞ

Gözaltına alınarak hastaneye götürülen şüphelinin yapılan iç beden muayenesi ve tomografi görüntülemesinde midesinde uyuşturucu taşıdığı belirlendi.

Midesinden 84 kapsül içinde 842 gram eroin ele geçirilen şüpheli çıkarıldığı hakimlikçe uyuşturucu ve uyarıcı madde ticareti suçundan tutuklandı.

En az 10 karakter gerekli


HIZLI YORUM YAP
300x250r
300x250r