Bingöl Emniyet Müdürlüğü Narkotik Suçlarla Mücadele Şube Müdürlüğü’ne bağlı narko-tim ekipleri, akıllara durgunluk veren bir uyuşturucu sevkiyatını deşifre etti. Yapılan istihbari çalışma ve takip sonucunda, şehirlerarası otobüsle Bingöl’e gelen yabancı uyruklu iki şüpheli üzerinde detaylı sağlık taraması yapıldı.
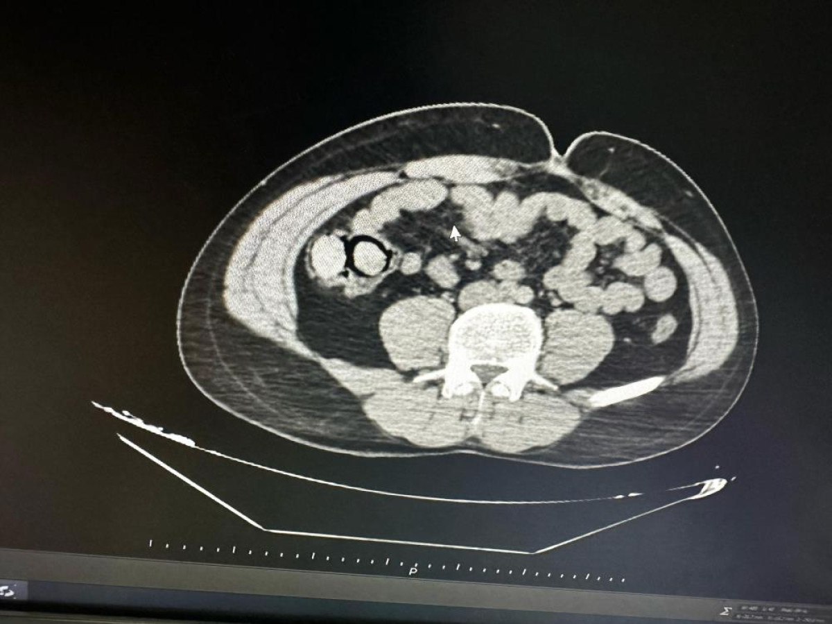
MİDESİNDEN 10 PAKET UYUŞTURUCU ÇIKTI
Gerçekleştirilen iç beden muayenesinde, 10 parça halinde toplam 113 gram metamfetamin ele geçirildi. Gözaltına alınan şahıslar, emniyetteki işlemlerinin ardından çıkarıldıkları mahkemece “uyuşturucu madde ticareti yapmak” suçlamasıyla tutuklanarak Elazığ Kapalı Ceza İnfaz Kurumu’na gönderildi.
Yetkililer, uyuşturucuyla mücadelede kararlılıkla sürdürülen operasyonların, halkın huzuru ve güvenliği adına kesintisiz devam edeceğini vurguladı.

SEKTÖREL
29 Nisan 2026SEKTÖREL
29 Nisan 2026MAGAZİN
29 Nisan 2026GENEL
29 Nisan 2026MAGAZİN
29 Nisan 2026GÜNDEM
29 Nisan 2026SPOR
29 Nisan 2026
1
Trump’tan seçim sonrası ilk mülakat
8115 kez okundu
2
Avusturya başbakanı Sebastian Kurz ile ilgili bilinmeyenler
4866 kez okundu
3
Joe Biden 6 aylık hedeflerini açıkladı. Senato buz gibi…
3510 kez okundu
4
Putin’den Ermenistan’ı yıkan açıklama: Karabağ Azerbaycan’ın ayrılmaz bir parçasıdır!
2723 kez okundu
5
Kıvanç Tatlıtuğ’dan evliliğine dair çok çarpıcı röportaj.
2493 kez okundu